
Estetska stomatologija: Planirajte svoj osmeh
Ako ste ikada poželeli da “ispeglate” sitne nesavršenosti osmeha – malo svetliju nijansu, uredniju liniju zuba ili diskretnije plombe – estetska stomatologija je vaš najbolji
DENTAL & AESTHETIC CENTER by Dr. Miodrag Đokić nudi širok spektar stomatoloških usluga vrhunskog kvaliteta, služeći se inovativnom tehnologijom i najsavremenijim materijalima i metodama.
stomatološke usluge
U našoj ordinaciji dobijate kompletne stomatološke usluge – od preventivne i estetske stomatologije do implantologije i oralne hirurgije.
Svakom pacijentu pristupamo individualno, koristeći savremene procedure i vrhunsku opremu kako bismo postigli zdrav, funkcionalan i lep osmeh.
Trajno rešenje za gubitak zuba koje vraća prirodnu funkciju i estetiku. Kod nas dobijate detaljan vodič kroz ceo proces ugradnje, kao i transparentne informacije o cenama kako biste doneli informisanu odluku.
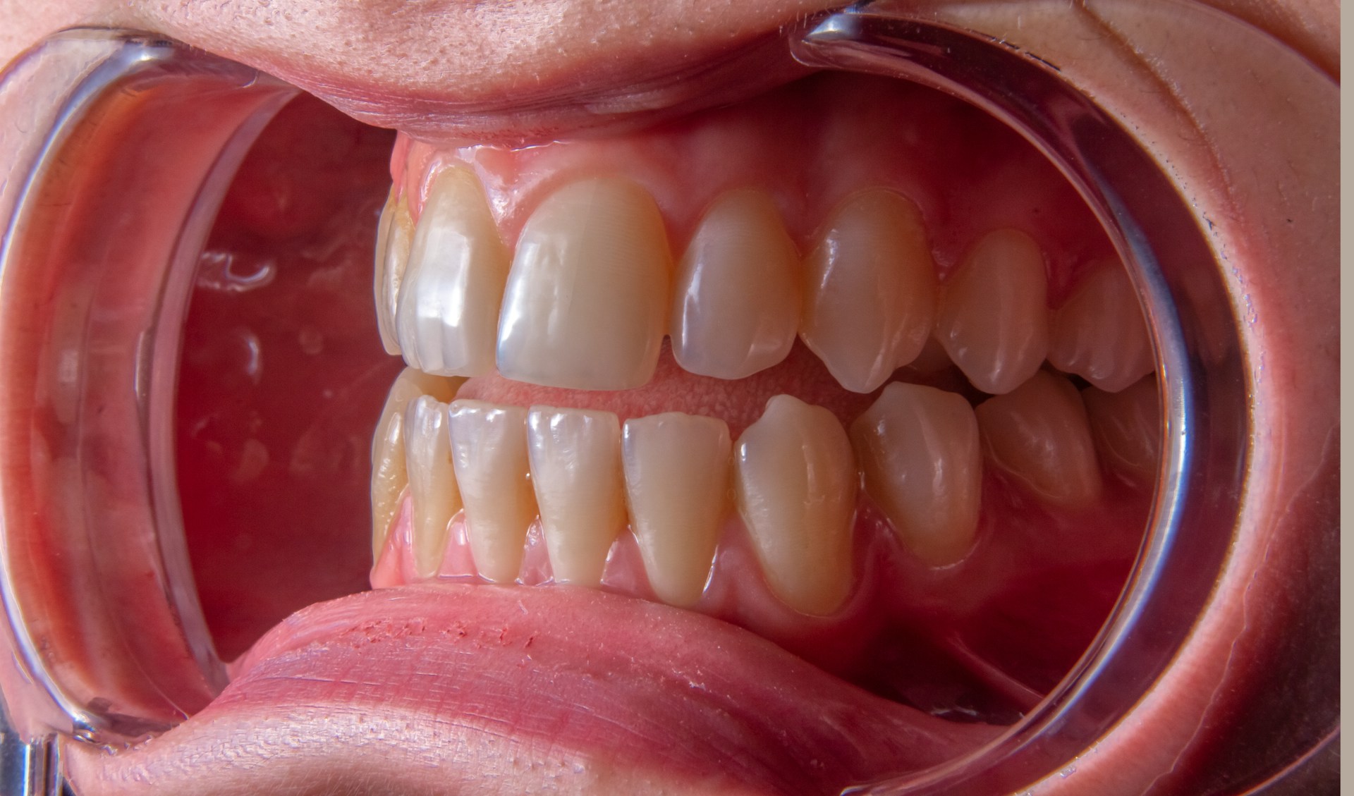
Estetske, biokompatibilne i izuzetno izdržljive krunice bez metala. Idealne su za prirodan izgled zuba i dugotrajnu stabilnost boje i oblika.
Tanke keramičke fasete koje brzo i efikasno koriguju oblik, boju i sitne nepravilnosti zuba. Diskretno rešenje za blistav, samouveren osmeh.
Planiranje osmeha uz naprednu dijagnostiku i estetske protokole. Naš cilj je harmonija proporcija lica i zuba – sjajan osmeh koji izgleda prirodno.
Bezbedne i efikasne metode izbeljivanja uz kontrolu stručnjaka. Postignite primetno svetliji osmeh uz očuvanje zdravlja gleđi i dugotrajan rezultat.
Sistematski plan lečenja koji zaustavlja propadanje zuba i vraća punu funkciju vilice. Od privremenih rešenja do finalne rehabilitacije – sve na jednom mestu.
Rešenja prilagođena vašim potrebama i budžetu: totalne, parcijalne i skeletirane proteze, kao i kombinovane radove. Cilj je stabilnost, udobnost i lep izgled.
Savremeni kompozitni ispuni koji obnavljaju oblik, funkciju i estetiku zuba. Radimo precizno, minimalno invazivno i u skladu sa principima očuvanja zubnog tkiva.
Preciznost. Sigurnost. Stručnost.
Oralna hirurgija
Oralna hirurgija obuhvata sve intervencije koje zahtevaju preciznost, iskustvo i besprekorne uslove rada.
Stručna hirurška rešenja u sterilnim uslovima: vađenje umnjaka, apikotomija (hirurško uklanjanje vrha korena), priprema za implantaciju i druge intervencije. Bezbednost i komfor pacijenata su nam prioritet.
Dr Miodrag Đokić
Imate pitanje, želite da zakažete pregled ili da saznate više o našim uslugama?
Slobodno nas kontaktirajte – rado ćemo pomoći i predložiti plan terapije prilagođen vama.
Novosti

Ako ste ikada poželeli da “ispeglate” sitne nesavršenosti osmeha – malo svetliju nijansu, uredniju liniju zuba ili diskretnije plombe – estetska stomatologija je vaš najbolji

Ako vam partner s vremena na vreme kaže da noću zvučite kao mali beton-mikser, verovatno ste na ličnom „ti“ sa bruksizmom. Bruksizam je stručni naziv

Ako vam stomatolog izgovori rečenicu „treba nam lečenje kanala zuba“, to ne znači da se spremate za epsku bitku sa zubarskom stolicom. U većini slučajeva

Zubni kamenac je kao “beton” na vašim zubima—samo ga ne potpisuju građevinci već bakterije. Nastaje kada se meki zubni plak mineralizuje (stvrdne) i zalepi za

Tražiš savršen osmeh i dvoumiš se između dve reči koje zvuče kao imena estradnog dua — krunice ili fasete? Nisi jedini. Oba rešenja su sjajna,