
Apsces zuba: Simptomi i šta je hitno
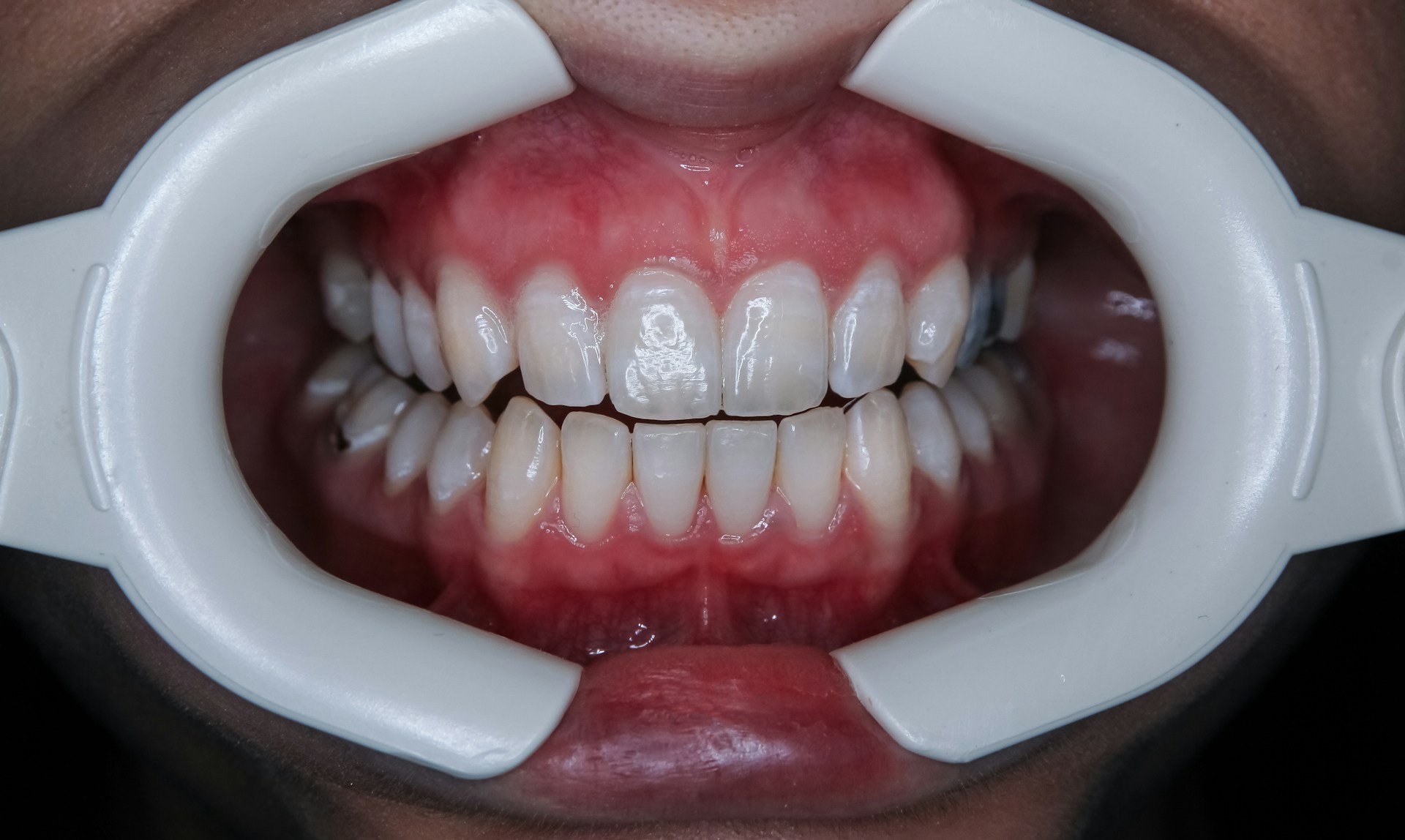
Apsces zuba nije problem koji voli odlaganje. To nije “proći će samo od sebe” situacija, niti trenutak za kućne eksperimente u stilu “isprao sam, pa

Apsces zuba nije problem koji voli odlaganje. To nije “proći će samo od sebe” situacija, niti trenutak za kućne eksperimente u stilu “isprao sam, pa

Platelet-Rich Plasma tretman: Kome pomaže i kada Platelet-Rich Plasma tretman zvuči pomalo futuristički, ali ideja je zapravo prilično logična: uzima se mala količina vaše krvi,

Afte su male, ali imaju talenat da se ponašaju kao da su glavna vest dana. Jedna sitna ranica na jeziku, obrazu ili desni i odjednom

Kada prvi put čujete reč apikotomija, zvuči kao nešto što traži prevod i tri dodatna pitanja. U praksi, stvar je mnogo jednostavnija: to je mali

Oporavak posle oralne hirurgije ume da zvuči strašnije nego što zaista jeste. Da, može biti otoka, osetljivosti i malo nervoze oko toga šta smete da

Koliko traju zubni implanti je jedno od prvih pitanja koje pacijenti postavljaju, i potpuno pošteno. Kada ulažete u zdravlje, funkciju i osmeh, želite da znate

nukao zub nikada ne bira dobar trenutak. To se ne dešava dok mirno pijete mlaku vodu i meditirate. Ne, obično se desi uz tvrdu koricu

Kad prvi put čujete izraz sinus lift, zvuči kao nešto između medicinske procedure i servisa za lift u zgradi. U praksi, priča je mnogo jednostavnija.

Ako imate plombe duže nego što imate neki kućni aparat koji još uvek radi, niste jedini. Plombe umeju da traju godinama, ali nisu “doživotna garancija”.

Ako imate zubni implant, verovatno ste čuli rečenicu: „Implant je trajno rešenje.“ Tačno… ali uz jednu malu fusnotu: trajno ako ga tretirate kao zub, ne